Eres de los que les gusta menos bla, bla, bla y más glu, glu, glu, pues, que esto, que el otro…¡Ah, no! No brindaremos hasta que traigan su cepillo dental consigo. Y es que el dentista británico, Christopher Orr, compartió algunas imágenes como evidencias del terrible daño que causan las bebidas alcohólicas a los dientes.
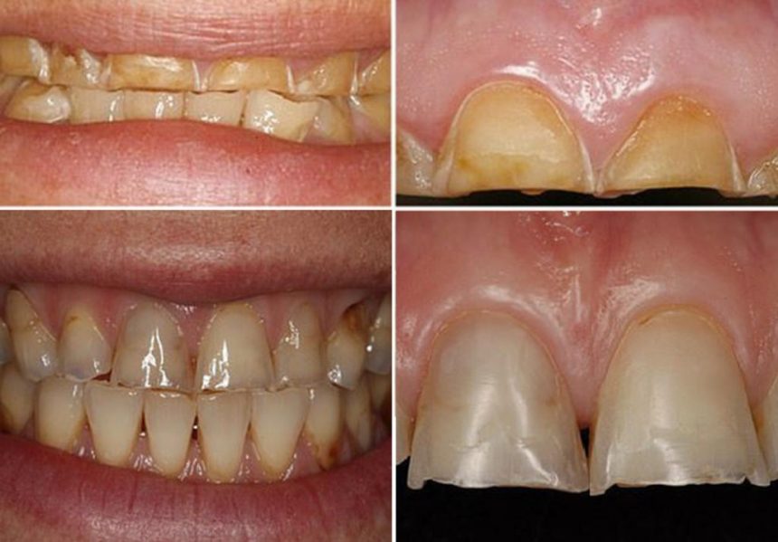
Con 23 años de experiencia profesional, dice haber visto de todo, sin embargo, explica que si no se tiene una debida higiene bucal durante las fiestas navideñas, donde el consumo de alcohol es más frecuente, los dientes podrían sufrir desde manchas, acumulación de sarro y hasta su adelgazamiento, lo que conllevará a posibles fracturas en los incisivos, caninos y molares, así como dolorosos daños en la pulpa dental.

El odontólogo advierte que las bebidas alcohólicas que más daño provocan en la dentadura son los cócteles que van mezclados con refresco de cola, el champagne, el vino rosado, los vinos blancos dulces, así como el vino prosecco, mejor conocido como vino espumoso, pues su acidez ablanda el esmalte de los dientes.
“La defensa natural del cuerpo es la saliva que protege los dientes, pero [el cuerpo] necesita tiempo para producirla, generalmente alrededor de media hora”, declaró el médico al diario The Sun, agregando que en fechas navideñas se come tanto que a veces no da tiempo de este proceso. Además, de que el daño podría ser mucho peor, para aquellas personas que sufren anomalías, displasias y otras patologías bucales congénitas.

Por si fuera poco, a lo largo de la historia, varios estudios científicos han demostrado que los refrescos de cola y bebidas carbonatadas, al igual que las alcohólicas, tienen un efecto corrosivo en las piezas dentales. Al poseer altos niveles de concentraciones químicas, azúcares elevados, cafeína y algunos colorantes, su consumo en grandes cantidades provoca daños irreversibles en los dientes, además de que en el caso de los refrescos de cola, contienen en abundancia ácido fosfórico, responsable de acabar con el calcio de los dientes y el cuerpo.
Ahora que lo sabemos, es indispensable que uno de tus propósitos de año nuevo, sea visitar a tu dentista preferido regularmente. La Secretaría de Salud, recomienda acudir al menos dos veces al año con el odontólogo para su limpieza y revisión.


